014 763 2843
info@jocordental.co.za
5 Herman Street

Our Smiles

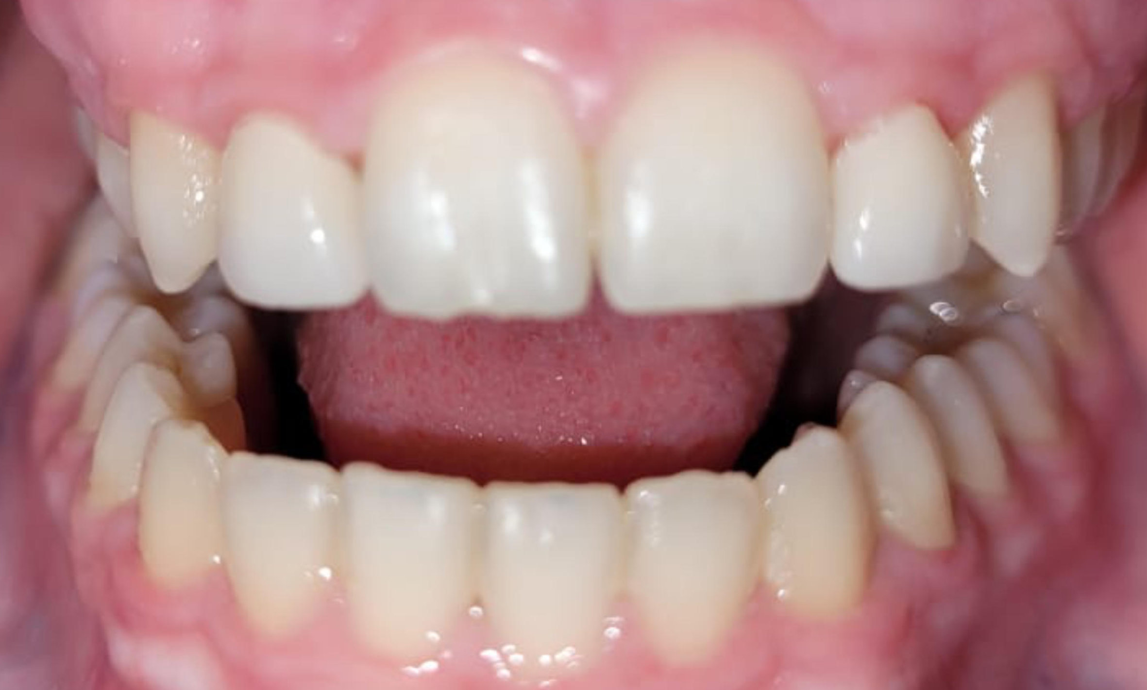
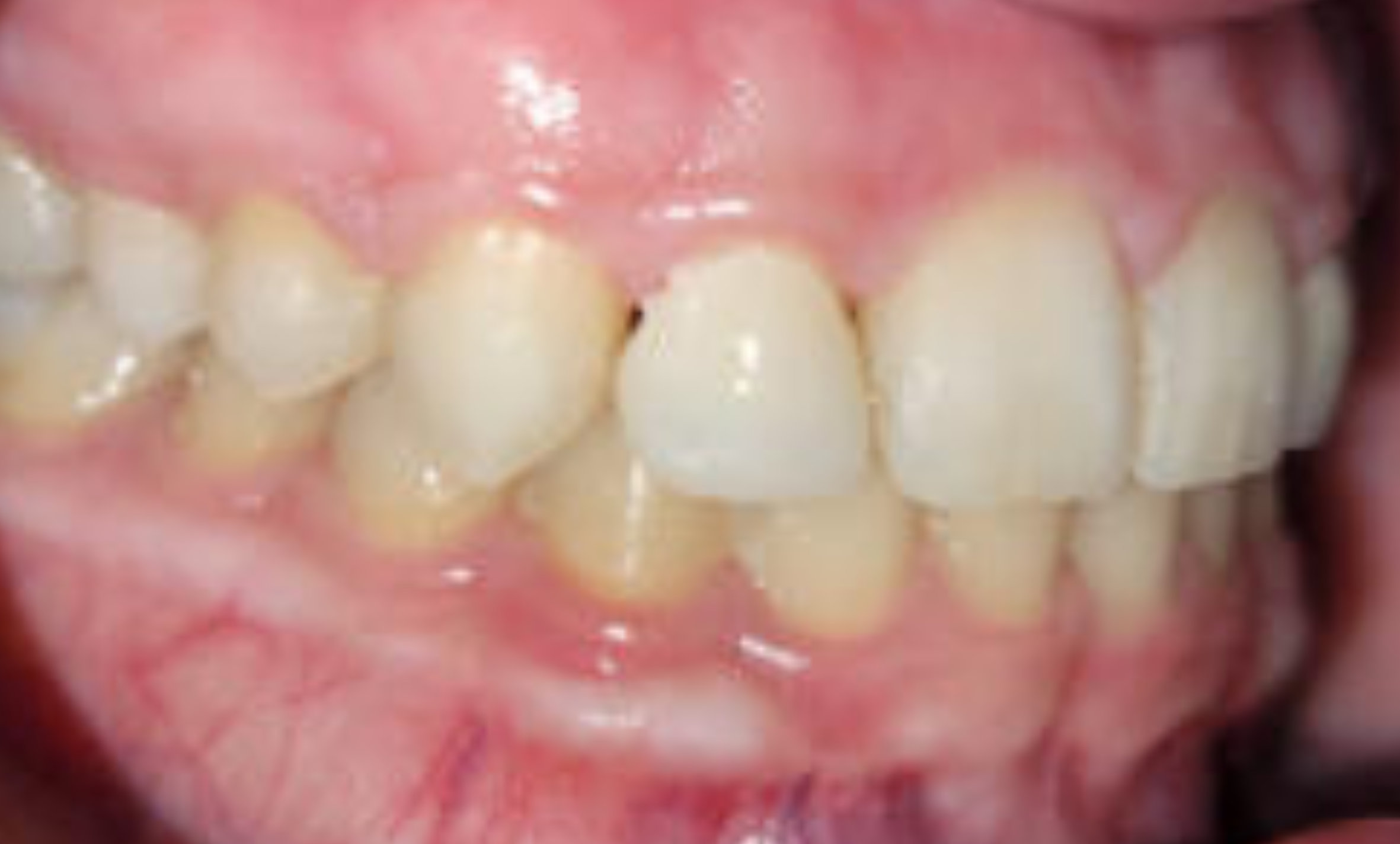
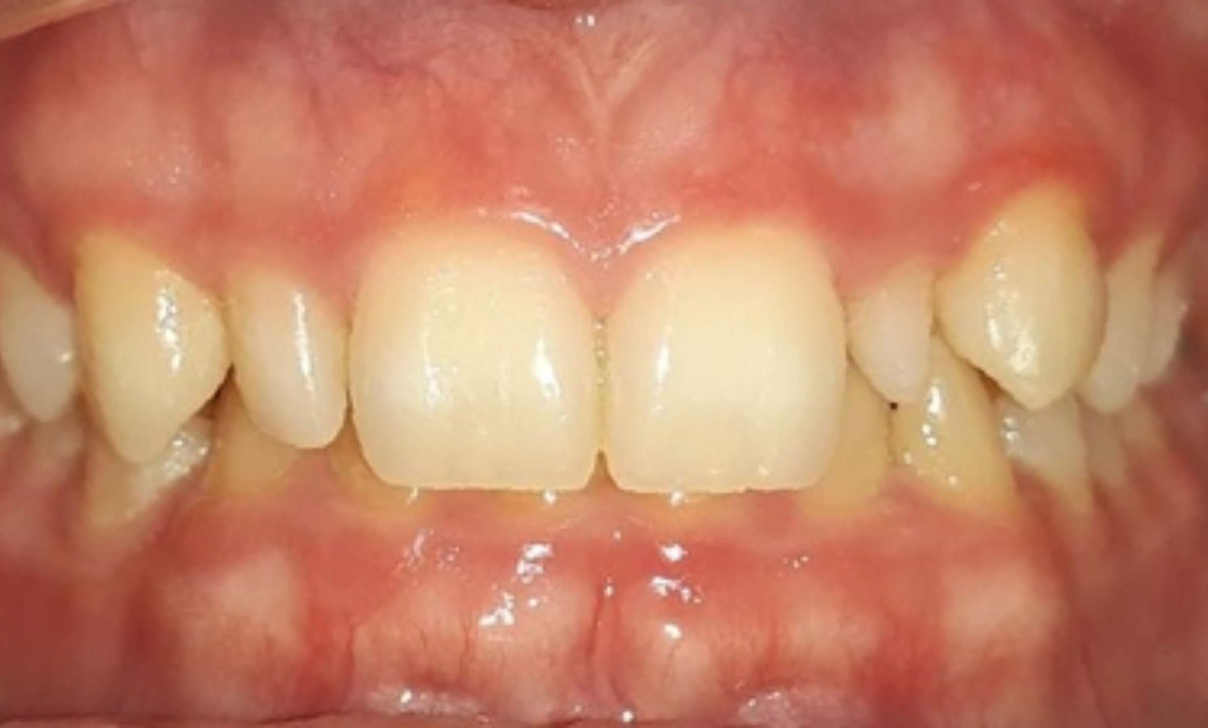
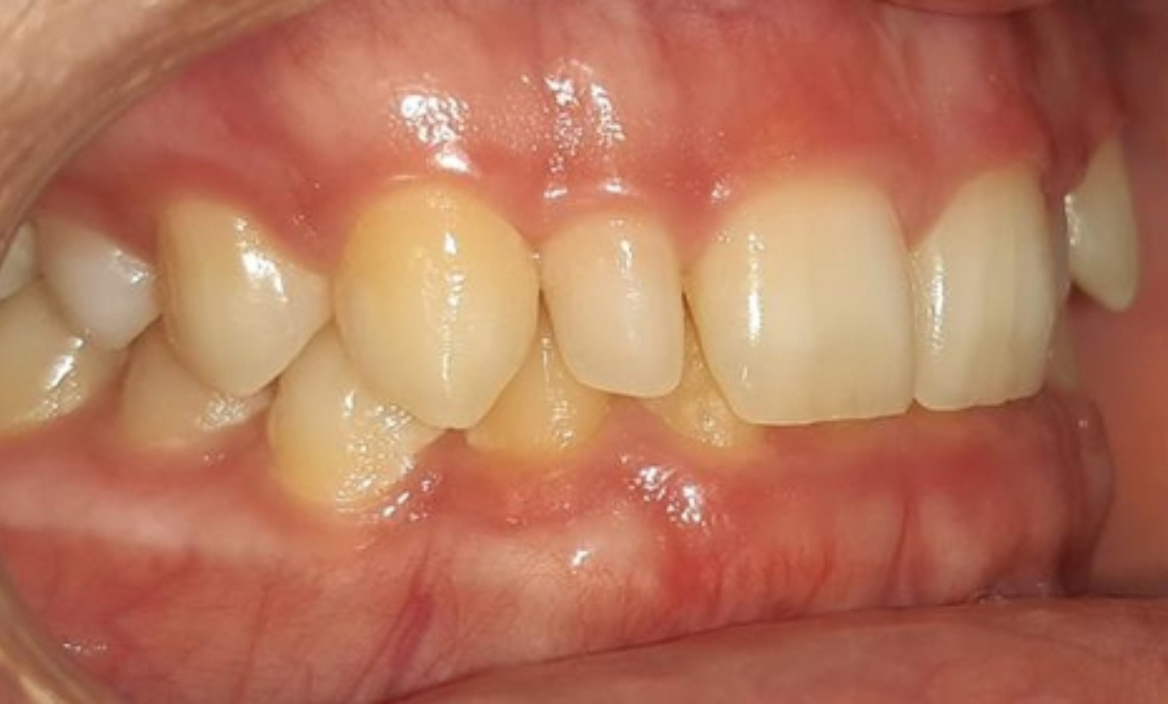
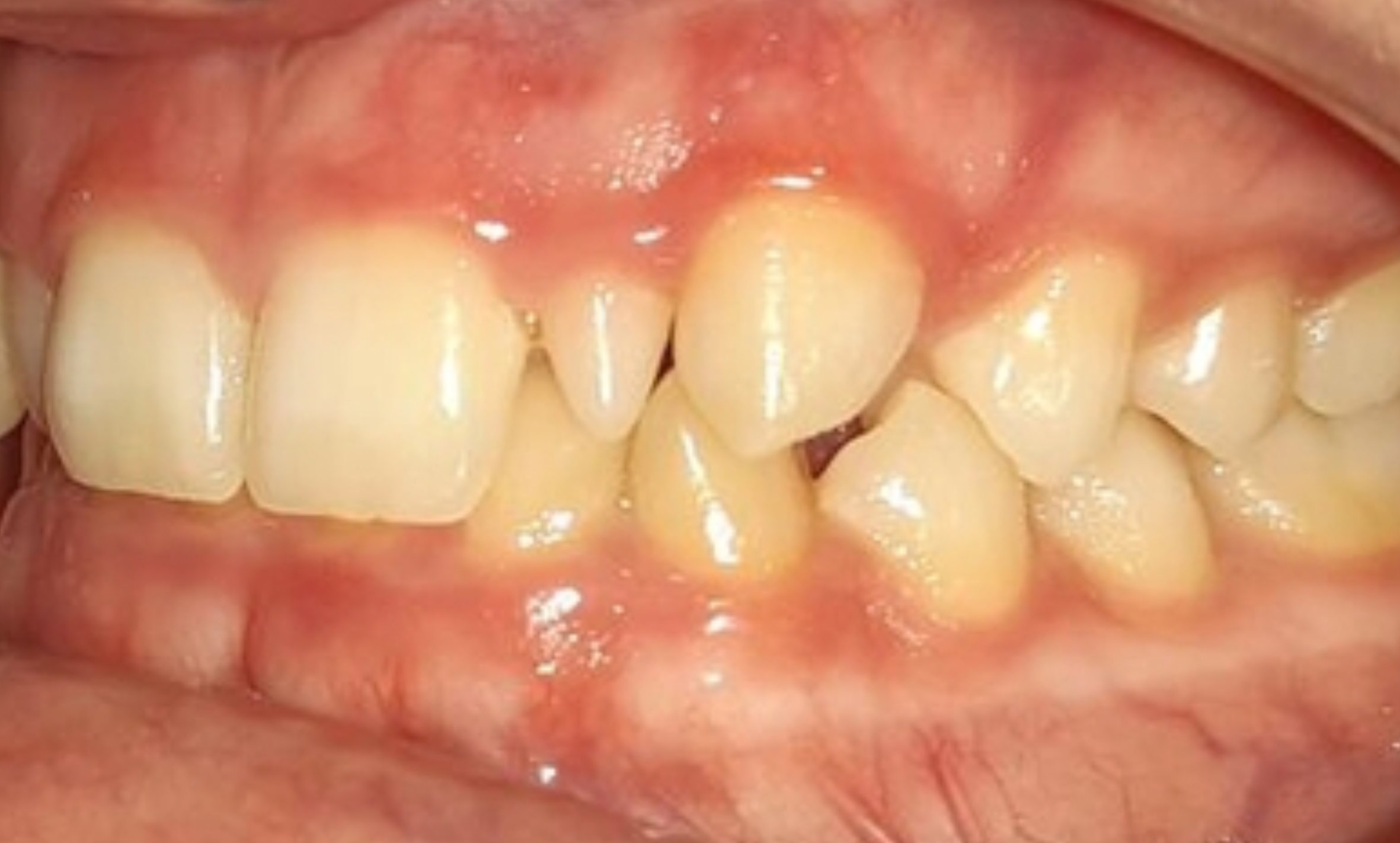
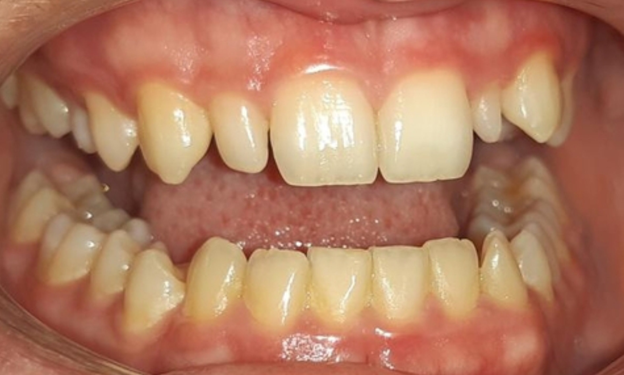
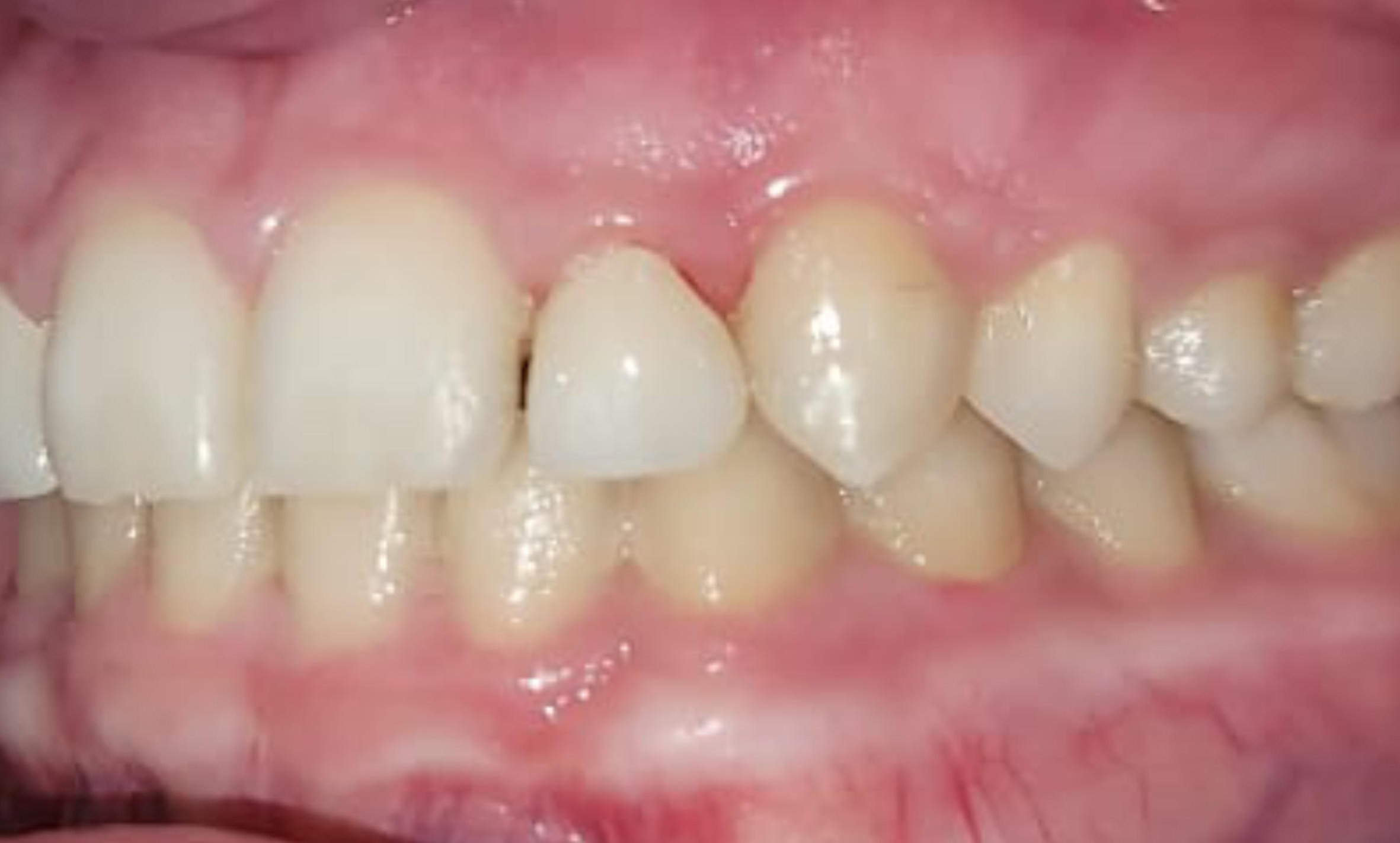
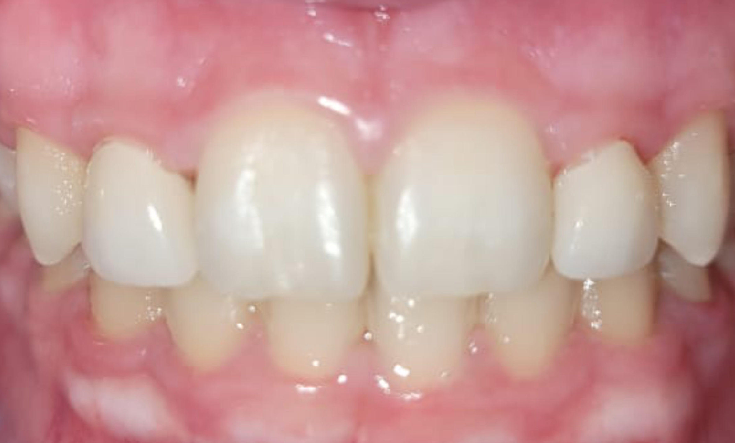
Dr van der Linde has made people smile since birth and plan to do so (personally and professionally) until the end of time. Here are some classic examples showing the endless possibilities to achieve a beautiful smile.

BEFORE

AFTER

Before & After

WhatsApp